Ishaan Ortho & Spine, a leading orthopedic center in Bangalore, offers comprehensive diagnosis, treatment, and care for traumatic disc extrusion. Our team of experienced doctors, led by Dr. Subodh M Shetty, is dedicated to providing personalized care plans to manage pain, restore function, and improve your quality of life.

Understanding Traumatic Disc Extrusion:
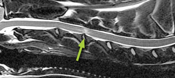
The spine is made up of individual bones (vertebrae) separated by discs. These discs act as cushions, absorbing shock and allowing for movement. Traumatic disc extrusion occurs when a sudden, forceful impact causes the soft inner core of a disc to rupture and completely extrude (leak out) from its normal position. This can put significant pressure on nearby nerves, causing pain and other neurological symptoms.
Causes of Traumatic Disc Extrusion:
While disc herniation can occur due to wear and tear over time, traumatic disc extrusion specifically results from a sudden impact, such as:
Symptoms of Traumatic Disc Extrusion:
The symptoms of traumatic disc extrusion can vary depending on the location of the extruded disc material and the nerves it affects. They may include:
Diagnosis of Traumatic Disc Extrusion:
Diagnosing traumatic disc extrusion often involves a combination of tests, including:
Treatment Options at Ishaan Ortho & Spine:
At Ishaan Ortho & Spine, we offer a tailored approach to treating traumatic disc extrusion. The specific treatment plan depends on the severity of your symptoms, the location of the extrusion, and your overall health. Treatment options may include:
Hospitalization Care:
Hospitalization is typically necessary for traumatic disc extrusion due to the sudden and severe nature of the injury and the potential need for immediate pain management, stabilization, or surgical intervention. Our team of specialists will work closely with you to develop a personalized care plan and provide comprehensive support throughout your recovery journey.
Schedule an Appointment:
If you have experienced a recent accident and are experiencing severe back pain, weakness, numbness, or any other concerning symptoms, schedule an appointment with Dr. Subodh M Shetty at Ishaan Ortho & Spine for an immediate evaluation, accurate diagnosis, and personalized treatment plan. Early intervention is crucial for managing your symptoms, preventing complications, and promoting a full recovery.

Spine Surgeon & Orthopedic Doctor

Spine Surgeon & Orthopedic Doctor
ExcellentBased on 252 reviews![]()
Udit Jain2023-11-26I had neck pain because of long hour sitting job. I was by a colleague to Dr Subodh Shetty at Ishaan Orthopaedics and was diagnosed with Cervical issues. Doctor gave medicines and prescribed physiotherapy. After a few physiotherapy sessions, I started feeling relaxed. I was suggested to continue with exercises. Thanks to their services.
Puneet Kulkarni2023-11-08Best Orthopaedic doctor around. All in 1 place, Medicine, Physiotherapy, Blood testing. I got my neck pain treated here.
Manjula Shinde2023-10-23Hello, I am Manjula Shinde , a 65-year old,and I am thrilled to share my exceptional experience with Dr. Subodh M Shetty. One fateful morning during my routine walk , a sudden slip and fall led to a fracture in my right shoulder. The diagnosis revealed a fracture at the upper end of the humerus with displacement , prompting Dr. Subodh's immidiate and expert attention . Dr. Subodh Shetty recommended a surgical procedure that involved: A meticulas RIGHT UPPER END HUMERUS FRACTURE PHILOS PLATING AND SCREW. Precise REDUCTION AND K WIRE FIXATION perfomed under an image intensifier. Ensuring stability with EXTERNAL IMMOBILISATION WITH A SLAB. Enhancing recovery with a LOCAL BONE GRAFT to fill the cavity at the fracture site. The surgery which lasted 2.5 hours, was a complete success, and within a few days , I began to regain mobility in my arm . During my post surgery visits, Dr. Shetty exhibited exemplary patience and attentiveness. He took the time to explain every aspect , from the intricacies of the procedure to the healing process, considering my age . He discussed medications, potential risks , and necessary precautions. Dr. Shetty's sincerity and politeness shone through , leaving me entirely satisfied with his treatment. Now after 6 weeks, my arm is nearly healed, and I experience no discomfort in its movement. I wholeheartedly extend my gratitude to Dr. Subodh M Shetty and wholeheartedly recommed his exceptional care to everyone.
VENKATESH JHA2023-09-21Words can hardly convey the incredible transformation that has occurred in our lives, all thanks to the extraordinary Dr. Subodh M. Shetty. He is more than just a doctor; he is our savior, and his impact on our family is immeasurable. My father's struggle with ankylosing spondylitis was nothing short of a nightmare. The mere act of bending was accompanied by a horrifying symphony of joint movement, a sound that served as a constant reminder of the pain he endured every day. His condition left him unable to enjoy the simplest of pleasures, and it weighed heavily on all of us. When we first met Dr. Shetty, my father's situation was further complicated by a dangerously low hemoglobin level. Many doctors might have hesitated, but not Dr. Shetty. He calibrates his approach with a precision that can only be described as miraculous. His unwavering confidence in the face of adversity gave us the strength to proceed with the surgery, despite the odds. During the surgery, Dr. Shetty's skill and expertise shone brightly. He guided my father through the intricate procedure with a steady hand, leaving us with no doubt that we had made the right choice. But Dr. Shetty's care did not stop at the operating room; he provided us with a professional physiotherapist who played a crucial role in managing my father's pain and facilitating his recovery. What truly sets Dr. Shetty apart is his unwavering dedication. He was with us every step of the way, from the initial consultation to my father's complete recovery. His presence was a source of comfort and reassurance, a guiding light in our darkest hours. Our journey with Dr. Shetty began with a simple Google search, "Best Orthopedic Doctor Near Me," and little did we know that this search would change the course of our lives. Dr. Subodh M. Shetty is not just a doctor; he is a miracle worker, a compassionate healer, and a guiding force that has brought light and hope back into our family. To Dr. Shetty, you are not only a gifted surgeon but a true guardian angel. Your skill, dedication, and unwavering support have given my father a new lease on life, and for that, we are forever grateful. You have touched our hearts in ways words can't capture, and we consider ourselves blessed to have found you.
Deepti Swamy2023-09-09Have been a regular at Dr.Subodh's clinic since a few years now for various orthopedic issues... last year he performed a diskectomy surgery on my spine and since that one year, I have seen a great reduction of all my lumbar issues.
Poornima Raju2023-09-02Dr subodh is very familiar in identifying all ortho issues and suggest you best treatment. You will get better in a week.Good to have genuine doctors like him.I would recommend to see him for sure
Pradhan Nanjappa2023-07-25Been here thrice. Can consult without thinking. Very patient and calm doctor who explains everything and treats well.
Subhod Shetty2023-07-24I was suffering from back pain since last month, I tried taking some medications which didn't help me to get rid of the pain,so I went to meet Dr.Subodh Shetty who is an Orthopaedic & Spine Surgeon.After examining me and my reports,the doctor suggested that Spine surgery has to performed to get rid of the pain.I agreed to what the doctor said and the surgery was performed with L4,5, L5-S1 decompression with Spinal fusion.L4,5, L5- S-1 Discectomy and interbody cage application and nerve root decompression.After 15 days of the surgery I went to meet the doctor for suture removal ,the suture were removed.After the surgery I got relief from the pain and I recommend Dr.Subodh M Shetty for any Orthopaedic & Spine problems.
80, 1st Cross, 2nd Main road, Vysya Bank Colony, BTM 2nd Stage, Bangalore- 560076
844, 17th ‘F’ Main, 6th ‘C’ Cross, 6th block, Koramangala, Bangalore- 560095